It might sound unlikely, but altitude sickness can happen in Antarctica far from any mountain range. A recent report in the scientific journal Life describes how a healthy technician developed acute high-altitude pulmonary edema (HAPE) while working at a research base during the 2023 summer season.
Concordia Station is one of only three permanent year-round bases on the Antarctic Plateau and is jointly run by French and Italian scientists. Sitting at 3,233m (10,600 feet) above sea level and reachable only by air, new researchers arrive unacclimatized, and acute mountain sickness (AMS) is common. On-site doctors typically recommend rest and monitoring to avoid a complicated, expensive medical evacuation if symptoms worsen.
High-altitude pulmonary edema
The 34-year-old technician arrived at Concordia two days before his symptoms began. He had already spent several summers at the base over the previous three years and likely expected nothing unusual. Soon after arriving, he started clearing snow from containers and buildings and repeatedly climbing flights of stairs.
About 48 hours later, he reported to the station’s medical facility with a headache. His blood-oxygen saturation measured low at 79%, but after 30 minutes of supplemental oxygen, his levels improved, and he was discharged.

The runway at Concordia. Photo: ESA/IPEV/PNRA/A. Salam
The following morning, however, he failed to attend the base’s meeting or lunch. Roommates reported hearing him cough through most of the night, prompting a rescue team to head to his quarters 500m away. They found him pale and hypoxic (low blood oxygen) once again, and administered oxygen and transported him to the base hospital.
An acute decline
During the short 10-minute journey, his condition deteriorated markedly. He was confused, and his headache had returned. His oxygen saturation had dropped to dangerous levels, his breathing rate had more than doubled, and he showed signs of a dry cough and a high heart rate.
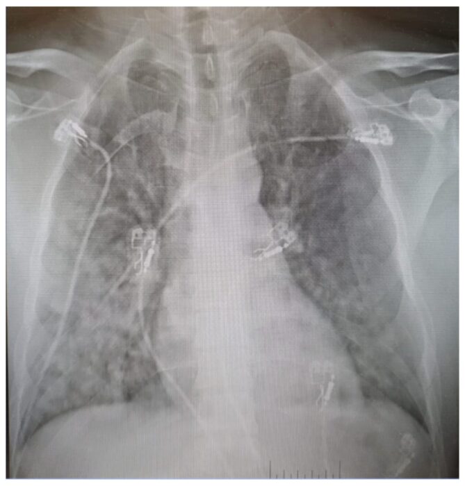
A chest X-ray led doctors to diagnose high-altitude pulmonary edema, a life-threatening condition in which low oxygen at altitude increases pressure in the lung’s blood vessels, causing fluid to leak into the air spaces and impair the exchange of oxygen into the blood.

The technician’s X-ray. Bases in Antarctica have some advanced medical facilities, but they are limited. Photo: Larcher et al. 2026
This was not the first recorded case of HAPE in Antarctica. The study’s authors cite five previous incidents among expeditioners at Amundsen–Scott South Pole Station, including one involving strenuous exercise soon after arrival. Acute mountain sickness is reported to affect up to 50% of personnel upon arrival at the station.
Further treatment
Medical staff administered two hours of high-flow supplemental oxygen to the stricken worker. The treatment reduced his confusion and lowered his heart rate. They then opted to place him inside a hyperbaric chamber for continued care.
A hyperbaric chamber is a sealed, portable unit used in remote or high-altitude environments to simulate descent by increasing the air pressure around the patient. By recreating conditions at lower elevation, it can relieve symptoms when evacuation is not so easy.

The mobile hyperbaric chamber on a ramp. Photo: Larcher et al. 2026
There was, however, a complication. The technician’s condition worsened whenever he lay flat — his oxygen levels fell, and breathing was more labored — so the team improvised a ramp to keep him semi-upright while inside the chamber.
After an hour inside the chamber, the man stabilized. His heart rate slowed and oxygen saturation climbed, allowing doctors to monitor him outside the chamber overnight while evacuation plans were finalized.
Evacuation to New Zealand
The next morning, a DC-3 touched down at Concordia. Because this aircraft lacks a pressurized cabin, the patient was sealed inside the hyperbaric chamber throughout the flight, accompanied by the station doctor. The doctor fed oxygen into the unit and monitored his vital signs through a window. They communicated with hand signals and written notes over the roar of the engines.
The transfer went smoothly. By the time they reached another Italian research station, his oxygen levels were strong enough for him to walk, though he still needed some oxygen support.

The technician cocooned on the first internal Antarctic flight. Photo: Larcher et al. 2026
With limited diagnostic tools available in Antarctica, doctors ordered his evacuation to New Zealand. Tests in Christchurch confirmed lung changes consistent with pulmonary edema, but the technician’s recovery was rapid. He was discharged the following day and symptom-free within a week.
An examination six months later found no underlying heart or lung conditions, highlighting the unpredictable risk that altitude poses, even to healthy and experienced Antarctic personnel.
Causes and risk mitigation
The authors point to several factors that may have combined to trigger HAPE in this case. The technician started physically demanding work almost immediately after arrival, which increases pulmonary strain in the first few days at altitude.

Temperature and atmospheric pressure during the summer campaign at Concordia, the shaded area depicts the period of the incident. Photo: Larcher et al. 2026
The station is also one of the driest inhabited places on Earth, where extremely low humidity and cold increase fluid loss through breathing and can further strain the respiratory system.
To mitigate against these risks, the authors suggest that base workers slow down on arrival and avoid heavy exertion in the first days. Clearly, even seasoned workers are not immune to the demands of life on the high Antarctic Plateau.